حرية سقفها السماء

وكالة سرايا الإخبارية

إبحــث في ســــرايا
الإثنين ,3 نوفمبر, 2025 م
طباعة
  • المشاهدات: 1167

كيف غيّر فيروس كورونا دماغ مريضة عمرها 25 عاما؟ .. صورة

كيف غيّر فيروس كورونا دماغ مريضة عمرها 25 عاما؟ .. صورة

كيف غيّر فيروس كورونا دماغ مريضة عمرها 25 عاما؟  ..  صورة

02-06-2020 04:36 PM

تعديل حجم الخط:

سرايا - تكشف فحوصات الدماغ الجديدة لمريضة "كوفيد-19" كيف يمكن للفيروس تغيير الدماغ وحرمان الناس من حاسة الشم.

ويعتقد الباحثون الإيطاليون أن دراستهم هي الأولى التي تظهر صورا لهذه التغيرات الدماغية في مريض بشري حي.

ويعد فقدان حاسة الشم العارض الأكثر شيوعا بين عدد قليل من الأعراض العصبية التي يعتقد الأطباء الآن أنها ناجمة عن فيروس كورونا. واقترحت دراسات سابقة أن ما يصل إلى 65% من المصابين بالعدوى يفقدون حاسة الشم لديهم.

ولكن الدراسة الجديدة هي الأولى التي تظهر من خلال التصوير الطبي أن الأعراض الغريبة ليست مجرد نتيجة لانتقال الفيروس عبر المجاري الهوائية، ولكنها دليل على هجمات الفيروس على الدماغ.



وتظهر الصور تقلبات طفيفة في منطقة من الدماغ تتحكم في حاسة الشم لدينا.

وبالنسبة للعين غير المدربة، قد تكون خفية للغاية بحيث لا يمكن رؤيتها، ولكن بالنسبة للخبراء الطبيين من معهد IRCCS Istituto Clinico Humanitas وجامعة Humanitas في ميلانو بإيطاليا، ومستشفى بوسطن للأطفال في الولايات المتحدة، كانت الانحرافات واضحة.

ووقع التقاط الصور لأخصائية أشعة تبلغ من العمر 25 عاما. وكانت بصحة جيدة، حتى اضطرت إلى بدء العمل في جناح في المستشفى لرعاية مرضى فيروس كورونا.

وليوم واحد، كانت عاملة الرعاية الصحية تعاني من سعال جاف، ولكنه اختفى في اليوم التالي. لكنها لم تستطع شم أي شيء، وكل شيء أكلته أو شربته لم يكن له أي رائحة أو مذاق. واستمرت الأعراض الحسية، على الرغم من أنها لم تصب بحمى أبدا وشعرت أنها بخير في الغالب.

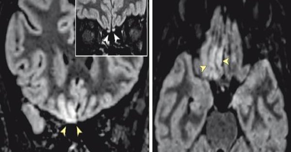
وبدت اختبارات أنفها وصدرها طبيعية بعد ثلاثة أيام من اختفاء حاسة الشم لديها، لذا قام الأطباء بإجراء تصوير بالرنين المغناطيسي لدماغها أيضا.

ووجدوا تغيرات في دماغها في منطقتين: منطقة تسمى التلفيف المستقيم الأيمن ومنطقة تسمى البصلات الشمية.

وتأخذ البصلات الشمية معلومات حسية من الأنف وتمررها إلى مناطق أخرى، بما في ذلك التلفيف المستقيم، للمعالجة.

وكانت الطريقة التي ظهرت بها هذه التغييرات في التصوير بالرنين المغناطيسي متسقة مع نوع الصور التي يتوقع الأطباء رؤيتها من الهجمات الفيروسية على العضو، لذلك قاموا باختبار المرأة للتحقق من وجود فيروس كورونا. وكان اختبارها إيجابيا.

وبعد 28 يوما، قام الأطباء بإجراء تصوير بالرنين المغناطيسي مرة أخرى، ورأوا أن دماغها بدأ في العودة إلى طبيعته، على الرغم من أن البصلات الشمية ظلت ملتهبة قليلا.

وفي النهاية عادت حاسة الشم لدى المرأة ولم يلاحظ أي ضرر طويل المدى. ومن الغريب أن الأطباء أجروا تصويرا بالرنين المغناطيسي لمريضين آخرين مصابين بفيروس كورونا مع فقدان حاسة الشم، لكنهم لم يروا تغيرات في أدمغتهم.

ومع ذلك، كانت التعديلات على دماغ المرأة متسقة مع تلك التي لوحظت في تشريح الجثث والدراسات الحيوانية السابقة، وكانت مجرد أول دماغ بشري حي لاحظ الأطباء عنده هجمات الفيروس.

وكتب مؤلفو الدراسة: "بناء على نتائج التصوير بالرنين المغناطيسي، بما في ذلك التغيرات الطفيفة في البصلة الشمية، يمكننا التكهن بأن SARS-CoV-2 قد يغزو الدماغ من خلال مسار حاسة الشم ويسبب خللا في حاسة الشم".

وما هو أكثر من ذلك، حقيقة أن المرأة طورت بالفعل علامات أخرى للفيروس التاجي، مثل الحمى أو التعب أو السعال المستمر. وأشار الأطباء إلى أن فقدان الشم لا يمكن أن يكون عارضا فحسب، بل هو العارض الأساسي للفيروس.











طباعة
  • المشاهدات: 1167

إقرأ أيضا

الأكثر مشاهدة خلال اليوم

إقرأ أيـضـاَ

أخبار فنية

رياضـة

منوعات من العالم