حرية سقفها السماء

وكالة سرايا الإخبارية

إبحــث في ســــرايا
الخميس ,26 مارس, 2026 م
طباعة
  • المشاهدات: 7677

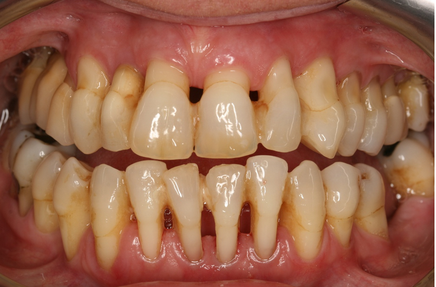
أمراض اللثة الصامتة: كيف تنقذ أسنانك قبل فوات الأوان؟

أمراض اللثة الصامتة: كيف تنقذ أسنانك قبل فوات الأوان؟

أمراض اللثة الصامتة: كيف تنقذ أسنانك قبل فوات الأوان؟

16-05-2025 11:29 AM

تعديل حجم الخط:

سرايا - تُعتبر أمراض اللثة من المشاكل الصحية التي يستهين بها الكثيرون، نظراً لعدم ظهور أعراض واضحة في بداياتها. ومع ذلك، فإن التهابات اللثة قد تؤدي إلى فقدان الأسنان إذا لم تُعالج في الوقت المناسب. لذا فإن الوعي بهذه الأمراض والاهتمام بصحة الفم أمر بالغ الأهمية للحفاظ على أسنان قوية وصحية.

ما هي أمراض اللثة الصامتة؟

تبدأ أمراض اللثة غالباً بتراكم البلاك، وهو طبقة من البكتيريا تتكون على سطح الأسنان. إذا لم يتم تنظيفها بشكل جيد، تتحول إلى جير يسبب التهاب اللثة. وفي هذه المرحلة، قد لا يشعر المريض بأي ألم أو إزعاج، مما يجعل المرض صامت ويستمر في التقدم دون أن يلاحظ الشخص ذلك.

أعراض يجب الانتباه لها

برغم صمت المرض في البداية، إلا أن هناك بعض العلامات التي تشير إلى مشاكل في اللثة وضرورة زيارة طبيب الأسنان، منها:

نزيف اللثة أثناء تنظيف الأسنان بالفرشاة أو استخدام الخيط.

تورم واحمرار في اللثة.

رائحة فم كريهة مستمرة رغم العناية اليومية.

تراجع اللثة عن الأسنان وظهور جذور الأسنان.

حساسية في الأسنان تجاه أو المأكولات الحامضة.

كيف تنقذ أسنانك في الوقت المناسب؟

1. العناية الروتينية بصحة الفم

الوقاية هي أفضل علاج، لذلك من الضروري الالتزام بتنظيف الأسنان مرتين يوميًا باستخدام معجون يحتوي على الفلورايد، بالإضافة إلى استخدام خيط الأسنان بانتظام لإزالة بقايا الطعام التي قد تسبب تراكم البلاك.

2. الفحوصات الدورية

زيارة طبيب الأسنان بانتظام (مرة كل 6 أشهر على الأقل) تساعد في الكشف المبكر عن أي مشاكل قبل أن تتفاقم وتحمي أسنانك من التلف الدائم.

3. النظام الغذائي الصحي

تناول الأطعمة الغنية بالفيتامينات، خاصة فيتامين C وD، يعزز من صحة اللثة ويقوي الجهاز المناعي لمحاربة الالتهابات.

4. تجنب التدخين

التدخين يزيد من خطر الإصابة بأمراض اللثة ويؤخر شفاءها، لذلك الإقلاع عنه خطوة مهمة.

متى تستشير طبيب الأسنان فوراً؟

إذا لاحظت أيًا من الأعراض السابقة واستمرت مدة تزيد عن أسبوع رغم العناية اليومية، فلا تتردد في استشارة طبيب الأسنان، فقد تحتاج إلى علاج متخصص مثل تنظيف الجير العميق أو مضادات حيوية للسيطرة على الالتهاب.

في الختام، إن العناية بصحة اللثة خط الدفاع الأول للحفاظ على ابتسامة صحية وجميلة. لا تدع الأمراض الصامتة تُفاجئك، بل كن سباقًا في الوقاية والكشف المبكر.








طباعة
  • المشاهدات: 7677
 
1 -
ترحب "سرايا" بتعليقاتكم الإيجابية في هذه الزاوية ، ونتمنى أن تبتعد تعليقاتكم الكريمة عن الشخصنة لتحقيق الهدف منها وهو التفاعل الهادف مع ما يتم نشره في زاويتكم هذه.
16-05-2025 11:29 AM

سرايا

لا يوجد تعليقات
الاسم : *
البريد الالكتروني :
التعليق : *
رمز التحقق : تحديث الرمز
أكتب الرمز :

إقرأ أيضا

الأكثر مشاهدة خلال اليوم

إقرأ أيـضـاَ

أخبار فنية

رياضـة

منوعات من العالم